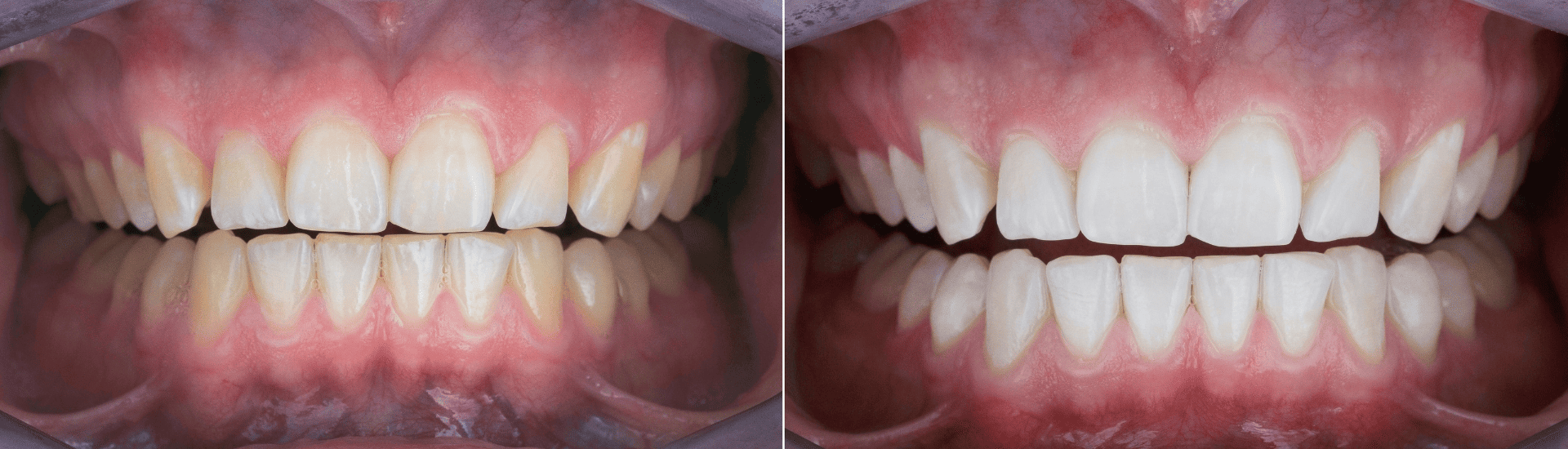
歯の黄ばみや色味が気になりませんか?
当院では、歯を削らずに白さを取り戻す「ホワイトニング」をご提案しています。
ホワイトニングは、むし歯の治療や詰め物の交換とは異なるアプローチで、歯の色素を内側から分解し、輝くような白さを得られるのが魅力です。
当院は、全国各地に展開しているデンタルエステサロン「ホワイトエッセンス」の加盟医院として、安心で効果的な薬剤や機材を使用し、より安全性の高い施術を目指しています。
歯を白くするメリット
見た目の改善だけでなく、笑顔に自信を持てるようになるのがホワイトニングの最大のメリットです。
仕事やプライベートで口元を隠さなくなり、積極的にコミュニケーションを取れるようになる方も少なくありません。
さらに、ホワイトニングをきっかけに歯を大切にする意識が高まり、クリーニングやメンテナンスを定期的に受けるようになって、むし歯や歯周病の予防にもつながります。
当院のホワイトニングが選ばれる理由

1. ホワイトエッセンスの安心した薬剤や機材
当院は、ホワイトエッセンス加盟院として独自の薬剤と照射器を使用しています。
この薬剤は国内で開発・製造され、薬事承認を取得した製品です。
安全面や品質管理に力を注ぎ、全国296医院(※)の実績に裏づけられたノウハウを活用し、歯質に合った施術を行います。
(※2024年9月末現在)
ホワイトエッセンスの薬剤
ホワイトエッセンスの薬剤は、過酸化水素や過酸化尿素を含むものを中心にしており、高い漂白作用を持ちながらも痛みを抑えやすいよう設計されています。
医療機関のみで取り扱いが認められる成分を使用しているため、安全性と効率的なホワイトニング効果を両立しています。
WE Light クラスⅡ(照射器)
厚生労働省の医療機器認証クラスⅡを取得したホワイトニング専用照射器を採用しています。
歯科医院でのホワイトニングに求められる強い光を効率よく照射し、歯の内部の着色成分を分解する薬剤の働きを高めます。
照射による歯茎や唇へのダメージを抑えるよう工夫されているのも大きな特徴です。
2. 国内生産や薬事認証にこだわったホームホワイトニング
ホワイトニングには、歯科医院で施術する「オフィスホワイトニング」と自宅で行う「ホームホワイトニング」の2種類があります。
当院でご案内するホームホワイトニング用の薬剤は、国内で生産され、薬事認証を取得しているため、安心して使い続けられます。
「痛みが出やすい」「効果を感じにくい」「マウスピースから薬剤が溢れる」といった従来の課題を改良し、より快適に取り組めるよう開発されています。
カスタムフィット・トレイ
ホームホワイトニングで使用するマウスピースは、お一人おひとりの歯列に合わせたオーダーメイドです。
口腔内スキャナーなどを使い、精密な歯型を取ることで、薬剤が溢れにくく歯茎を痛めにくいマウスピースを作製します。
装着中の違和感を最小限に抑えながら、ホワイトニングジェルを効率よく歯面に行き渡らせます。
3. ホワイトエッセンスならではの快適空間

当院はデンタルエステサロン「ホワイトエッセンス」の加盟医院として、施術環境にもこだわっています。
個室スペースを整えているため、周囲の目を気にせずリラックスして施術を受けていただけます。
また、ホワイトニング後のケアやメンテナンスについても丁寧にご案内し、白さを長く維持できるようサポートしています。
ホワイトニングの種類
ホワイトニングには大きく分けて3つの施術方法があります。
歯科医院で行う「オフィスホワイトニング」、自宅でマウスピースを装着する「ホームホワイトニング」、そしてその2つを組み合わせる「デュアルホワイトニング」です。
それぞれメリットや期間、仕上がりのイメージが異なるため、ご希望の白さやライフスタイルに合わせて選ぶのが大切です。
オフィスホワイトニング
歯科衛生士や歯科医師が院内で直接施術するホワイトニングです。
比較的高濃度の薬剤と、医療機器として承認を受けた専用の照射器を使って、歯の内部の色素を短期間で分解していきます。

特徴
- 短時間で効果を感じやすい
1回の施術でもしっかり白さの変化を実感できることが多く、大切なイベントやお仕事などが迫っている方に向いています。 - プロによる施術
薬剤の濃度や塗布する時間、照射器の扱いを専門スタッフが行うため、安全面での配慮が行き届いています。 - 通院が必要
予約を取り、歯科医院までお越しいただく必要があるため、お忙しい方には日程調整がやや負担になる場合があります。
おすすめの方
- 短期集中で歯を白くしたい方
- ホームホワイトニングの準備や管理に自信がない方
- 結婚式や就活など、期限が決まっている方
ホームホワイトニング
歯科医院で専用のマウスピースを作り、自宅で薬剤を入れて装着し、歯を白くしていく方法です。
時間をかけてゆっくり歯を漂白していくため、自然な仕上がりになりやすいのが特長です。

特徴
- 自宅で取り組める
通院回数を抑えたい方や、忙しくてなかなか時間が取れない方でも、自分のペースで進められます。 - 自然な白さ
急激に歯を漂白しないので、色むらや負担が比較的少なく、歯に優しい印象です。 - 知覚過敏リスクを考慮した薬剤
国内生産・薬事認証の薬剤を選ぶことで、しみたり痛むリスクを減らす工夫がされています。
おすすめの方
- 自然な仕上がりをゆっくり目指したい方
- 自宅で好きなタイミングで行いたい方
- 通院が難しく、自由なスケジュールで進めたい方
デュアルホワイトニング
オフィスとホームの両方を組み合わせた方法で、早く白くしたあと、その白さを長期間維持したい方に適しています。

特徴
- 短期で白く&長期の維持
まずオフィスホワイトニングで短期間に大きくトーンアップし、その後ホームホワイトニングでさらに白くしたり維持を図ったりできます。 - 仕上がりの安定
オフィスでベースの白さを作り、ホームで微調整しながら継続するため、より長く白さをキープしやすいです。 - 手間と費用はやや増える
2種類のホワイトニングを組み合わせるため、費用や管理面での負担は単独プランより増える可能性があります。
おすすめの方
- オフィスとホームの両方のメリットを活かしたい方
- 短期間で目立つ白さにしたいと同時に、長期的にキープしたい方
- 結婚式や大事なイベントに合わせ、さらに維持を考えている方
各ホワイトニング方法の比較表
| 項目 | オフィスホワイトニング | ホームホワイトニング | デュアルホワイトニング |
| 施術場所 | 歯科医院 | 自宅 | 歯科医院+自宅 |
| 施術者 | 歯科衛生士・歯科医師 | 本人(マウスピース装着) | 歯科衛生士・歯科医師+本人 |
| 効果の出やすさ | 1回でも実感しやすい | ゆっくり徐々にアップしていく | 短期で大きくアップ+長期間維持 |
| 通院回数 | 数回の通院が必要 | 装置受取やチェック以外は少なめ | オフィス分は複数回+ホーム管理 |
| 見た目の仕上がり | 即効性が高く、白さを実感しやすい | 自然な白さでなじみやすい | 短期間で白くし、その白さを長期に維持できる |
| 費用の目安 | 単独施術分 | マウスピース+ジェルの費用 | オフィス+ホーム両方の費用 |
ホワイトニングの流れ
ステップ1:無料カウンセリング
歯の色や希望の白さ、過去のむし歯治療の有無などを詳しく伺い、オフィス・ホーム・デュアルのどれが適しているかを提案します。
薬剤の濃度や照射器についても説明し、不安を解消していただきます。
ステップ2:口腔内チェック
歯科医師がむし歯や歯周病、詰め物や被せ物の状態を確認します。
状態によっては先に治療が必要になる場合があります。
ステップ3:シェードガイドで色の確認
施術前に現在の歯の色をチェックし、施術後にどれくらい変化したか分かるように記録を行います。
ステップ4:施術プランの決定
「どのくらいの白さを目指すのか」「どのペースで通院できるか」など、ライフスタイルに合わせてプランを選択します。
ステップ5:施術開始
オフィスホワイトニングの場合、薬剤を塗布して光を照射し、数分おきに薬剤を拭き取っては塗布を繰り返します。
ホームホワイトニングの場合は、歯型を取って専用マウスピースを作製し、後日お渡しして使い方を説明します。
ステップ6:アフターケア
ホワイトニング後は、色戻りを防ぐため飲食や歯磨きに関する注意点をお伝えします。
必要に応じて追加のジェルを購入し、定期的にホームホワイトニングを続けることで白さを維持できます。
よくある質問
Q:神経がない歯や差し歯は白くできますか?
それらの場合、別の審美治療(オールセラミックやダイレクトボンディングなど)を検討していただくことが多いです。
Q:ホワイトニングは痛いですか?
当院では薬剤や照射器の選定にこだわり、しみ止めなどのオプションケアも用意しています。
万一しみや痛みを感じる場合は、施術前に気軽にお申し出ください。
Q:妊娠中や授乳中でも受けられますか?
ホルモンバランスや歯ぐきの状態が変化しやすい時期なので、落ち着いてからの施術をおすすめします。
ホワイトニングで自信あふれる笑顔へ
歯の色を変えることで、笑顔の印象が驚くほど明るくなります。
当院では、国内で開発された薬事承認の薬剤や、医療機関のみで取り扱いが認められる照射器を活用し、安全かつ効果的なホワイトニングを目指しています。
オフィス・ホーム・デュアルなど、複数の施術プランがあるからこそ、一人ひとりのライフスタイルや目標に合わせた白さを実現しやすいです。
「歯を白くして自信を持ちたい」「短期間で仕上げたい」「自然な仕上がりを継続したい」など、どんなご希望も気軽にご相談ください。
白さが加わるだけで、笑顔や第一印象はより魅力的に変わります。


