見た目の治療

詰め物や被せ物を、白さや自然な色合いにこだわって仕上げます。
ジルコニアやセラミック、やレジンなど、複数の素材に対応し、お口全体のバランスを整えています。
また、ホワイトニングを併用することで、歯の白さとそれに合わせた人工物の美しさ、さらには、歯と口元の健康を両立する施術を目指しています。

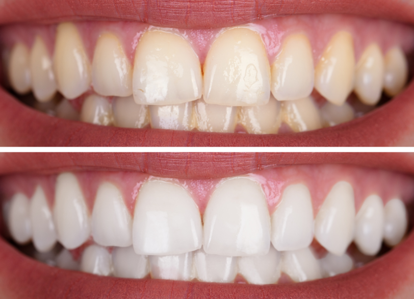
ホワイトニング

オフィスホワイトニングとホームホワイトニング、さらに両方を行うデュアルホワイトニングに対応しています。
歯茎や歯質への影響を抑えながら、輝く白さを実現させる効果と安全性が認められている薬剤を使用して います。
ホワイトエッセンスの実績をもとに、専門の個室空間で丁寧に施術を行います。

インプラント治療

失った歯の機能と見た目を取り戻す治療方法です。
専門医の知識と技術をもとに、サージカルガイドを用いて、しっかりした土台作りを行っています。
チタンなどの素材を選び、長く安定した状態を維持できるように工夫しています。

歯ぐきピーリング

薬剤を用いて歯茎の黒ずみをケアし、健康的な歯茎の色へ近づけます。
歯茎に優しい方法で、施術後の負担を抑えています。
ホワイトエッセンスのメニュー内で対応可能です。

成人矯正

見た目の改善と、噛み合わせの向上を両立する、成人の方に適した矯正治療です。
マウスピース矯正や表側ワイヤー矯正をはじめ、認定医との連携で理想的な仕上がりを目指します。
虫歯や歯周病のケアも同時に行えるのが利点です。

入れ歯治療

コバルトクロムやチタンなどの金属床、メッシュ総義歯、ノンクラスプデンチャーなど、幅広く取り扱っています。
見た目と機能性を重視し、快適に使い続けられるよう調整します。

セレック治療

口腔内スキャナーとCAD/CAMシステムを使い、詰め物や被せ物を院内で製作します。
型取りの負担が少なく、短期間で白い歯を装着できることが特徴です。
天然歯に近い色味を追求し、機能性と美しさを両立しています。

小児矯正

成長期の顎の成長を活かし、歯並びの土台から整える、お子様に適した矯正治療方法です。
取り外しできる拡大床やヘッドギアなどを用いて、無理なく歯を動かします。
保護者様と連携しながら、大切なお子様のお口の健康を育みます。

噛み合わせ治療

全体の噛み合わせ 咬み合せを見直し、顎や筋肉への負担を減らすことを目指します。
咬合紙やスプリントを使い、歯を極力削らない治療プランをご提案しています。

顎関節症治療

かみしめや歯ぎしりなど、顎や顔周辺に出る症状のケアを行っています。
スプリントなどの装置や生活習慣のアドバイスを組み合わせて、負担を和らげます。

口腔外科・親知らず治療

横向きや埋まった状態の親知らずも、状態を確認しながら抜歯を進めます。
痛みや腫れを抑える方法を工夫し、術後はフォローアップを大切にしています。

一般歯科・虫歯治療

虫歯の治療では、歯をできるだけ残すことを大切にしています。痛みを和らげる麻酔を使用したり、高速や電動ハンドピースを活用することで、治療時間を短縮させるなど、ご負担を少しでも和らげる治療を目指しています。
ドックスベストセメントなどを使用することで、歯質をなるべく削らずに済むよう工夫しています。

歯周病治療

歯茎の腫れや出血を見逃さず、早期のケアを大切にしています。
歯周ポケットプローブを用いて歯茎の状態を細かく確認し、超音波スケーラーで歯石を取り除きます。
治療後は定期検診とお口のメンテナンスを続けることで、歯周病の再発リスクを軽減しています。

歯茎再生治療

歯茎が下がってしまった部分に対し、骨補填やGBR、GTRといった再生技術を行っています。
歯肉の回復だけでなく、口腔全体の健康維持も目指しています。

小児歯科

お子様が怖がらないように、優しい声かけとリラックスできる環境づくりを心がけています。
フッ素やミネラルパックやシーラントを使い、歯を守る治療を行います。
正しいブラッシングの習慣づけも大切にしています。

予防歯科・PMTC

定期的なチェックとプロフェッショナルクリーニングで、虫歯や歯周病を防ぎます。
超音波スケーラーやエアフローを使用し、歯石や汚れをしっかり落とします。
ホワイトエッセンスのクリーニングを取り入れ、歯を清潔な状態に保ちます。

根管治療

むし歯が進行した場合、細菌を除去し根管内部を洗浄してから薬剤を充填します。
ニッケルチタンファイルを活用し、細い歯根の隅々まで清潔に保つことのできる治療を取り入れています。
痛みを抑えた処置で、歯を残すことを大切にしています。