笑顔が生まれる歯科医院へ。ワクワクを広げる一歩を当院から。
ホワイトエッセンス吉田歯科医院
ホーム
医院紹介
設備紹介
初診案内
診療案内
一般歯科・虫歯治療
根管治療
入れ歯治療
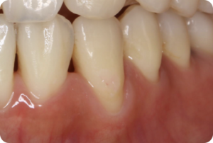
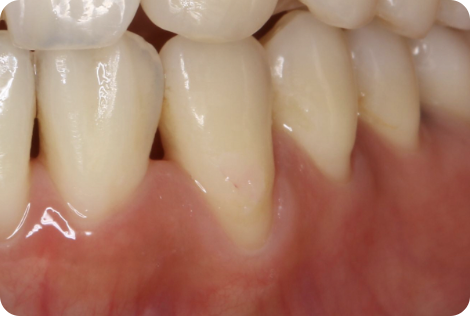
歯ぐきピーリング
インプラント治療
小児矯正
見た目の治療
ホワイトニング
予防歯科・PMTC
口腔外科・親知らず治療
噛み合わせ治療
顎関節症治療
インプラント治療
歯ぐきピーリング
入れ歯治療
根管治療
スタッフ紹介
アクセス
24時間Web予約
058-329-4010
24時間Web予約
058-329-4010
ggg
2026年 4月
日
月
火
水
木
金
土
29
30
31
1
2
3
4
5
6
7
8
9
10
11
12
13
14
15
16
17
18
19
20
21
22
23
24
25
26
27
28
29
30
1
2
2026年 5月
日
月
火
水
木
金
土
26
27
28
29
30
1
2
3
4
5
6
7
8
9
10
11
12
13
14
15
16
17
18
19
20
21
22
23
24
25
26
27
28
29
30
31
1
2
3
4
5
6
休診日
矯正・審美治療日
縮小診療日
公式LINEでも予約等の問い合わせが可能です!
TOP