ホワイトニング
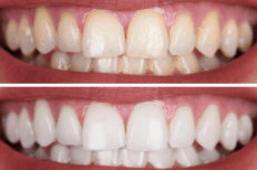
歯の黄ばみや色味が気になりませんか?当院では、歯を削らずに白さを取り戻す「ホワイトニング」をご提案しています。ホワイトニングは、むし歯の治療や詰め物の交換とは異なるアプローチで、歯の色素を内側から分解し、輝くような白さを … 続きを読む ホワイトニング
埋め込むにはこの URL をコピーして WordPress サイトに貼り付けてください
埋め込むにはこのコードをコピーしてサイトに貼り付けてください